Detalles de autor/a
Acerca de
Sobre la revista
Ética
Evaluación
Acceso
Instrucciones para autores
Equipo editorial
Patrocinio
Enviar un artículo
Archivos
Número actual
Indexaciones
Anuncios
Contacto
Buscar
Estadísticas
E-ISSN: 2500-5006 ISSN: 2389-7708
Registrarse
Entrar
Cambiar el idioma. El actual es:
Español
English
E-ISSN: 2500-5006 ISSN: 2389-7708
Registrarse
Entrar
Cambiar el idioma. El actual es:
Español
English
Detalles de autor/a
Hurtado, Maité
Revista Colombiana de Nefrología Vol. 3 Núm. 2 (2016): Julio - Diciembre 2016
Casos clínicos
Vasculitis ANCA y esclerosis sistémica
PDF
Revista Colombiana de Nefrología Vol. 3 Núm. 2 (2016): Julio - Diciembre 2016
Casos clínicos
Nefritis túbulo intersticial por leflunomida
PDF
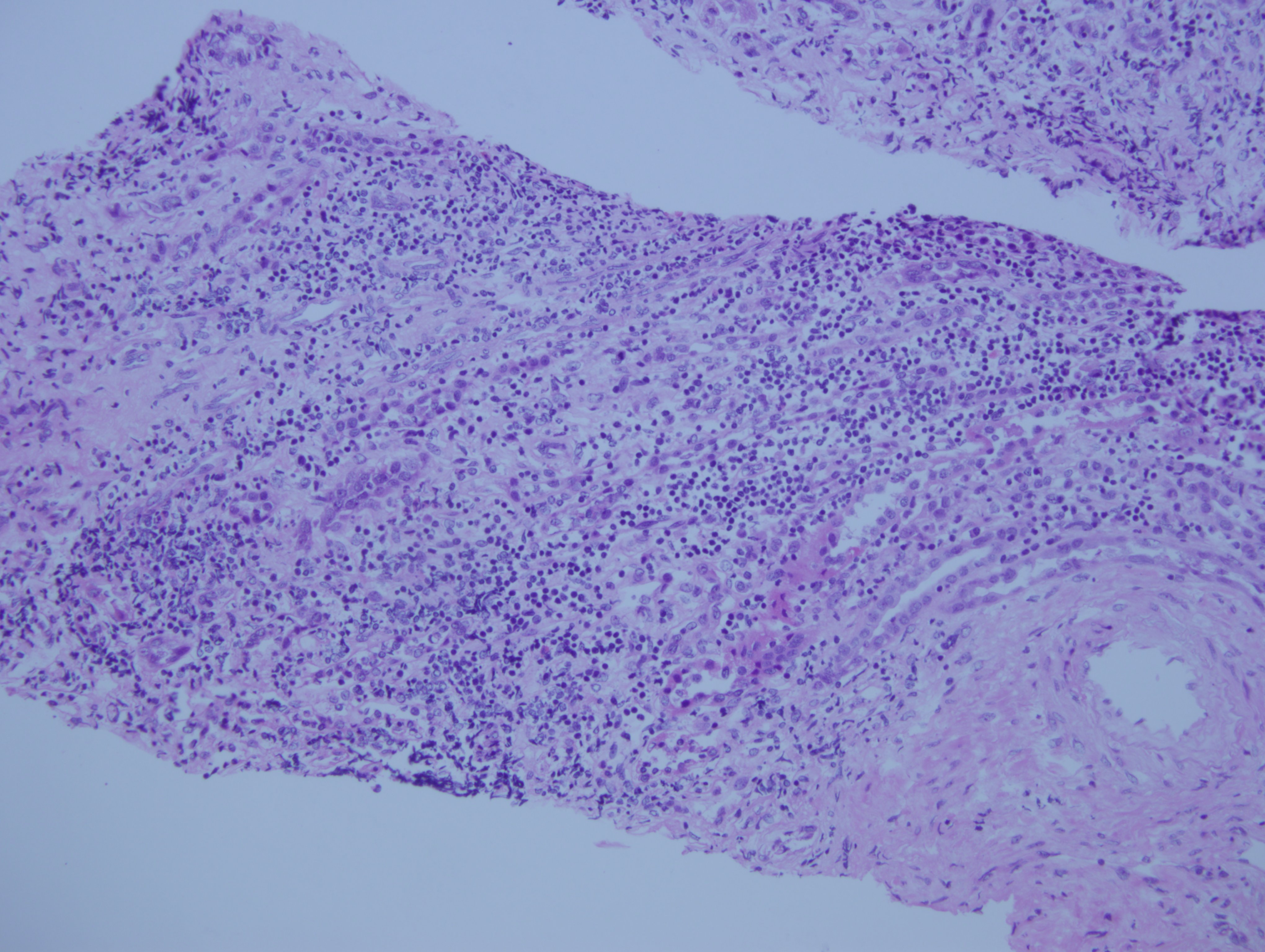
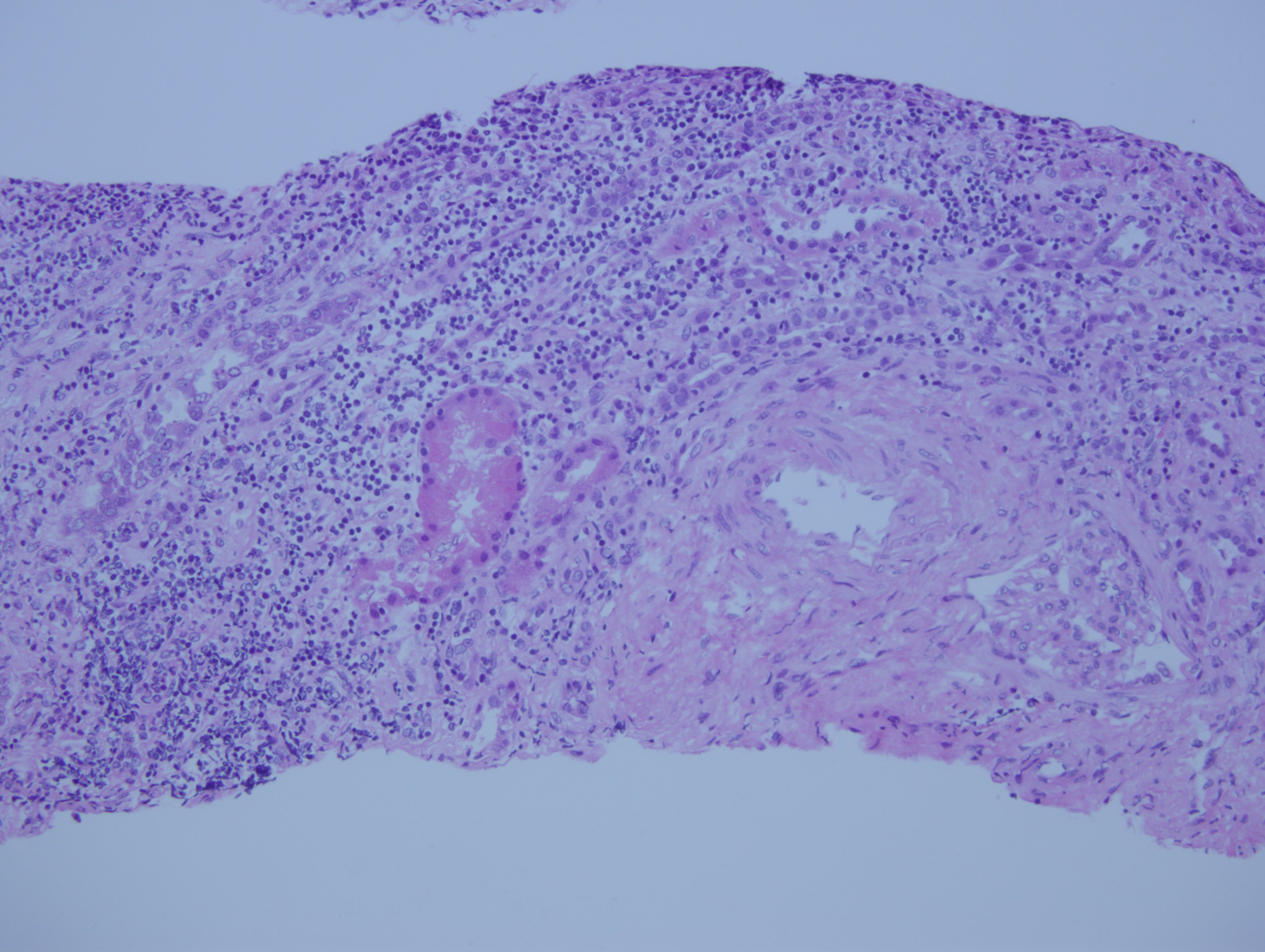
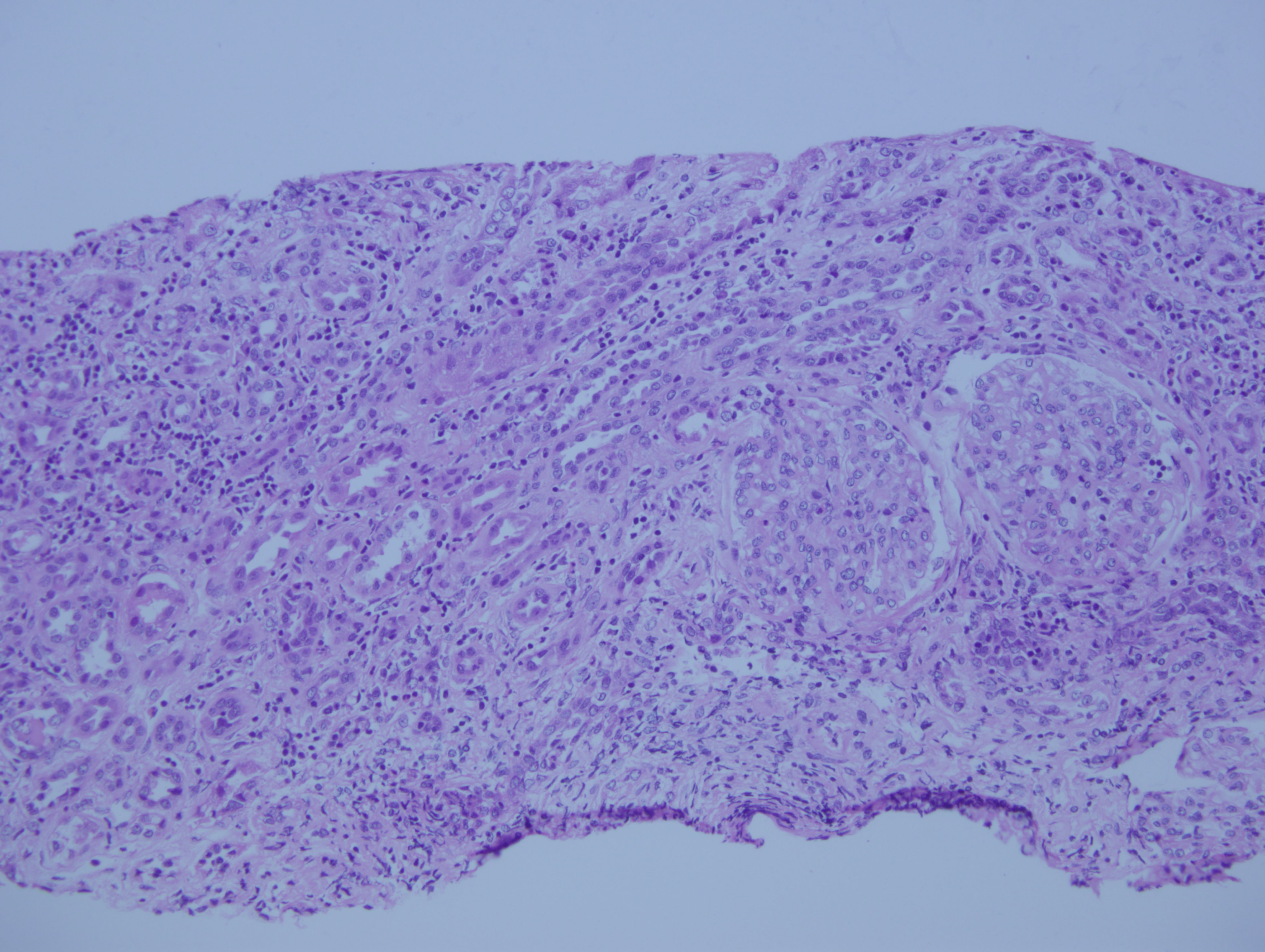
Biopsia renal, hematoxilina eosina
Biopsia renal, hematoxilina eosina
Biopsia renal, hematoxilina eosina
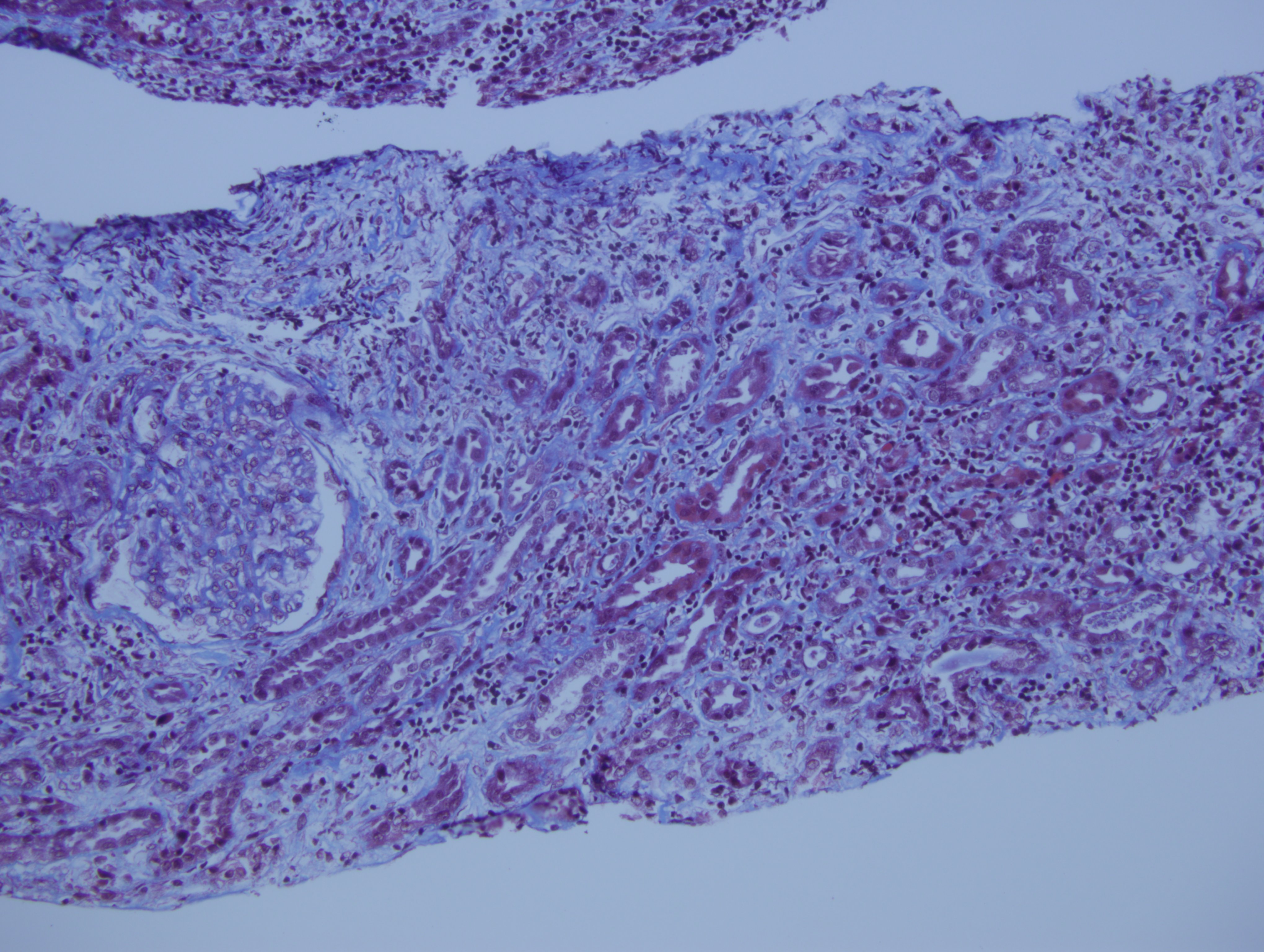
Biopsia renal, tricormico
Nefritis tubulo intersticial por leflunomide
Revista Colombiana de Nefrología Vol. 1 Núm. Supl. 1 (2014): Resúmenes XVIII Congreso de Nefrología e Hipertensión Arterial
Artículos
Plasmaféresis y vasculitis pauci-inmune: Experiencia Hospital Universitario San Ignacio, Bogotá, Colombia
PDF
Revista Colombiana de Nefrología Vol. 1 Núm. 1 (2014): Enero - Junio 2014
Artículo original
Plasmaféresis y vasculitis pauciinmune: experiencia Hospital Universitario San Ignacio, Bogotá, Colombia
PDF
PDF (English)
Revista Colombiana de Nefrología Vol. 5 Núm. 1 (2018): Enero - Junio 2018
Artículo original
Prevalencia de infección asociada a catéter de hemodiálisis en el Hospital Universitario Clínica San Rafael
PDF
PDF (English)
HTML
Carta de presentación
×
Nombre usuario
*
Obligatorio
Contraseña
*
Obligatorio
¿Has olvidado tu contraseña?
Mantenerme conectado
Entrar
¿Sin cuenta?
Registrarse aquí